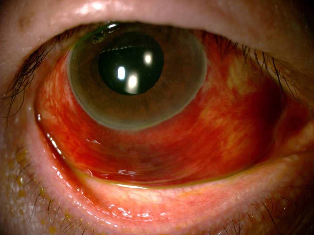
結膜下出血是常見症狀,俗稱眼睛「爆血管」,即是眼白位置出血,通常要由他人告知,或者照鏡時才發現眼睛充血。結膜下出血是指結膜的微血管受到刺激而破裂,滲出的血液會積聚於結膜與鞏膜外層之間,使病人有眼紅現象。

眼白充血很容易令人造成恐慌,有些甚至以為是眼中風的先兆。事實上,結膜下出血沒有特別症狀,視力不會受影響,也不會互相傳染。假如滲出的血量多,或會形成血塊並凸出於眼球表面,當淚水分布不均時,便會感到眼乾和有異物感。

結膜下出血一般不需要作出治療,與皮膚發生碰撞造成的瘀傷一樣,積聚的血會隨着時間慢慢被身體吸收。加上結膜下血管的凝血反應,出血範圍會慢慢收窄,通常於2至3星期內便能自行痊癒。

結膜下出血可分為外在及內在成因—

◽️ 常見的外在成因包括︰
(1) 咳嗽、打噴嚏、便秘或搬重物,因這些動作會短暫升高靜脈血壓,快速的血壓上升可導致毛細管破裂;
(2) 受到撞擊導致微血管破裂;
(3) 揉眼睛,特別是睡覺時不自覺的動作;
(4) 眼乾、結膜鬆弛或眼睛過敏;
(5)不正確佩戴或取出隱形眼鏡;
(6) 在手術期間(例如白內障、激光矯視等)因傷口位置或接觸儀器造成出血。

◽️ 內在成因包括︰
(1) 高血壓的患者,血管比較脆弱而容易出血;
(2) 糖尿病;
(3) 服用薄血藥或抗凝血藥物;
(4) 患有凝血功能障礙。

部分結膜下出血可反映病人的身體狀況,假如經常有結膜下出血、皮膚瘀青的情況發生,建議尋找醫生檢查以排除患上心血管疾病、高血壓、糖尿病,或者白血病、凝血異常等可能性。